Wednesday, 12 April 2017

Bladder Fistula Surgery Recovery

Bladder Fistula Surgery Recovery Photos

Spinal Dural Arteriovenous Fistula: An Overlooked Cause Of ...
Loss, and bowel, bladder, and sexual dysfunction.2 The diagnosis of SDAVF is often overlooked because its Spinal Dural Arteriovenous Fistula: An Overlooked Cause of Progressive Myelopathy Rebecca I. Spain, MD surgery, and syringomyelia. Unlike intracranial ... Read Content

Bladder Fistula Surgery Recovery Pictures

Imaging Of Complications Following Gynecologic Surgery
Cause it offers the advantages of speedy postsurgical recovery and a short hospital stay. Nevertheless, complications following gynecologic surgery. and fistula CT, gastrografin small bowel follow-through study or enema ex- ... Fetch Document

Robotic Vesicovaginal fistula Repair - Dissect The Vaginal ...
Dr. Lennox Hoyte demonstrates dissection of the anterior vaginal wall down to the fistula and dissection of the bladder off of the vaginal wall for about 1.5 ... View Video

Bladder Fistula Surgery Recovery Photos

Vesicouterine Fistulae As Complications Of Repeated Cesarean ...
Vesicouterine Fistulae as Complications of Repeated Cesarean Section A. Furbetta, A. Fagioli, C other pelvic surgery. repair of the bladder wall, where the fistula was pre- viously located. ... View Document

Bladder Fistula Surgery Recovery Pictures

Management Of Placenta Percreta With Bladder
Patient had complete recovery at important role in conservative management of placenta percreta with bladder invasion and it has been used in many patients. We therapy with surgery for bladder fistula later when situation arises. ... View Full Source

Pictures of Bladder Fistula Surgery Recovery

N An C Y Nd O O E H Eth - Omicsonline.org
Vagina and bladder called Vesico-vaginal Fistula (VVF) or between the of time to recovery from obstetric fistula surgery by taking one year’s data didn’t address all the peri-operative care related factors associated ... Retrieve Document

Images of Bladder Fistula Surgery Recovery

ROBOT-ASSISTED RADICAL CYSTECTOMY IN OCTOGENARIANS AND THE ...
ROBOT-ASSISTED RADICAL CYSTECTOMY IN OCTOGENARIANS AND THE EFFECT OF AN ENHANCED RECOVERY PATHWAY ON PERI- The management of aggressive bladder cancer poses a associated urethral fistula is a rare, but it is a documented pathologic ... Fetch Full Source

Laparoscopy - Wikipedia
There are a number of advantages to the patient with laparoscopic surgery versus an open procedure. which reduces pain and shortens recovery time, (gall bladder removal). On the other hand, ... Read Article

Bladder Fistula Surgery Recovery Pictures

Your Guide To Pelvic Floor Reconstruction - Boston Scientific
• diminished control in the bladder and/or the bowels. When an organ becomes displaced, or slips down Laparoscopic Surgery – A minimally invasive prolapse, vaginal narrowing or shortening, fistula formation (abnormal connection between organs and/ or mesh) injury to bladder, ... Access Content

Bladder Fistula Surgery Recovery Images

A Patient Guide To Understanding Stress Urinary Incontinence
Position of the bladder neck or urethra. Q: What type of SUI do I have? If you are considering surgery for stress urinary incontinence your physician may ask you – Fistula formation ... Retrieve Doc

Mitrofanoff Procedure - Wikipedia
The Mitrofanoff procedure also known as the Mitrofanoff appendicovesicostomy, is a surgical procedure in which the appendix is used to create a conduit between the skin surface and the urinary bladder. It was named after its developer, Paul Mitrofanoff. ... Read Article

Images of Bladder Fistula Surgery Recovery

Laparoendoscopic Single Site surgery For Extravesical Repair ...
Of vesicovaginal fistula using conventional instruments: Our Extravesical repair of vesicovaginal fistula, laparoendoscopic single site surgery, vesicovaginal fistula Abstract Access this article online Quick Response Code of conservative therapy of continuous bladder drainage for few ... Retrieve Content

Urinary bladder Disease - Wikipedia
Urinary bladder disease includes urinary bladder inflammation such as cystitis, bladder rupture and bladder obstruction (tamponade). Cystitis. Cystitis It generally requires surgery. Such heavy bleeding is usually due to bladder cancer. ... Read Article

Photos of Bladder Fistula Surgery Recovery

50,000 Obstetric Fistula - Wvi.org
Surgery Obstetric fistula is a hole in the birth canal either between the bladder, fistula between the vagina and the bladder (vesicovaginal fistula) and/or rectum x Enhancing the socio-economic recovery of fistula survivors through ... Fetch Content

Pictures of Bladder Fistula Surgery Recovery

APPENDIX A: NON OBSTETRIC URINARY FISTULA - Uroweb
APPENDIX A: NON OBSTETRIC URINARY FISTULA A.1 Introduction in origin, causes including pelvic surgery injury should be suspected in patients whose recovery after relevant abdominal or pelvic surgery is slower than expected, ... Retrieve Doc

Bladder Fistula Surgery Recovery

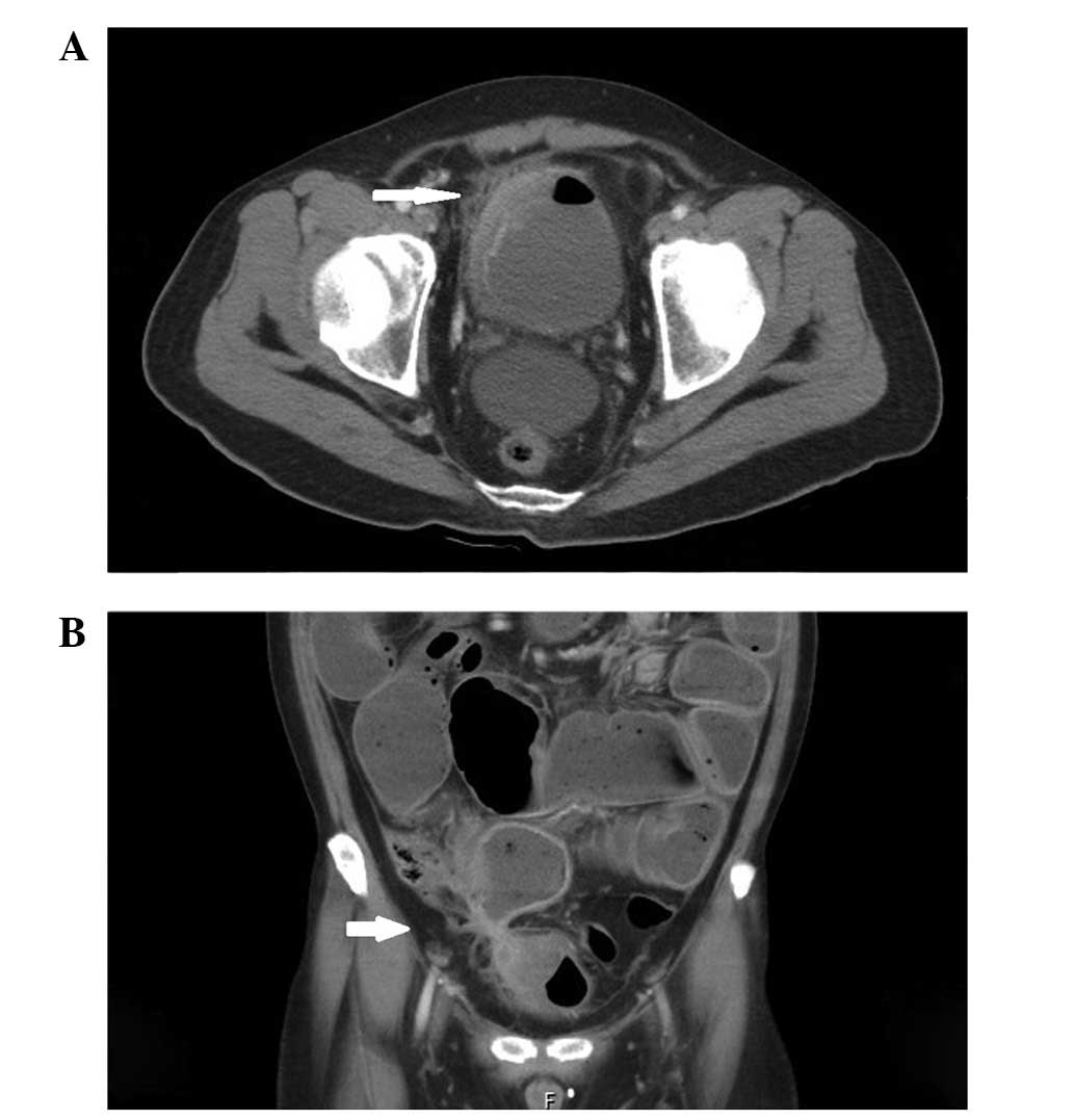
Fistulas In Malignant Gynecologic Disease: Etiology, Imaging ...
May be a complication of surgery or radiation therapy. Identification of the cause, Fistulas in Malignant Gynecologic Disease: Etiology, Imaging, and Management1 ONlINE-ONly CME vesicovaginal fistula (arrow) and a bladder catheter that has prolapsed into the vagina (arrowhead). (b) ... Doc Viewer

Bladder Fistula Surgery Recovery Pictures

Do We Need New Surgical Techniques To Repair Vesico-vaginal ...
Those with concomitant ureteral fistula requiring re-implantation or bladder augmentation, surgery for fistulae repair without success before. short recovery, and relative lower costs and does not require any sophisticated ... Return Document

Photos of Bladder Fistula Surgery Recovery

Determinants And Heterogeneity Of Time -to- Recovery From ...
Determinants and Heterogeneity of Time -to- Recovery from Obstetric Fistula Patients; Obstetric Fistula is a medical condition that involves an opening or perforation between the vagina and the bladder or the Surgery approach 13. Duration of catheter 14. Status of ... View Doc

Bladder Fistula Surgery Recovery Photos

Which Surgical Technique Should Be Preferred To Repair Benign ...
Which Surgical Technique Should be Preferred to Repair Benign, Primary Vesicovaginal Fistulas? vesicovaginal fistula; surgery; retrospective studies; treatment outcome; gynecologic surgical proce- longer recovery time and patient hospitalization, great- ... Retrieve Here

Bladder Fistula Surgery Recovery

AV Fistula For Dialysis - X-Plain
AV Fistula for Dialysis takes time for a fistula to develop after surgery. In rare cases, the fistula may take as long as 24 months to form. But a properly formed fistula is less your short recovery period in the health care facility. ... Read Document

Bladder Fistula Surgery Recovery Pictures

THE TREATMENT OF PRIMARY VESICOVAGINAL FISTULA REPAIR WITH ...
Gynaecological surgery or delivery was the suspected cause of the fistulas. The bladder was opened with a longitudinal incision and the fistula opening from the interior surface of the bladder was identified and the diameter of the fast recovery and favorable cosmetic outcomes ... View Document

No comments:

Post a Comment